La nostra storia
Anni ’90
Inizia l’attività di ricerca di Epitech Group: seguendo le orme di Rita Levi Montalcini, un gruppo di giovani ricercatori intuisce l’importanza di un intervento farmacologico di modulazione delle cosiddette cellule “non-neuronali” (mastocita, microglia e astrocita), coinvolte nel controllo della sensitività nervosa periferica e centrale, per contrastare neuroinfiammazione e dolore comuni a diverse patologie.
Studiare il ruolo biologico di queste cellule consente al brillante gruppo di ricerca di scoprire, in collaborazione con i laboratori della Prof.ssa Montalcini, il meccanismo che regola la reattività delle cellule non-neuronali, da loro stessi definito “ALIA” (Autacoid Local Injury Antagonism), grazie alla sostanza endogena Palmitoiletanolamide (PEA).
Anni ’90 – Brainstorming tra Francesco della Valle, fondatore di Epitech Group, e Rita Levi Montalcini. © Epitech Group SpA
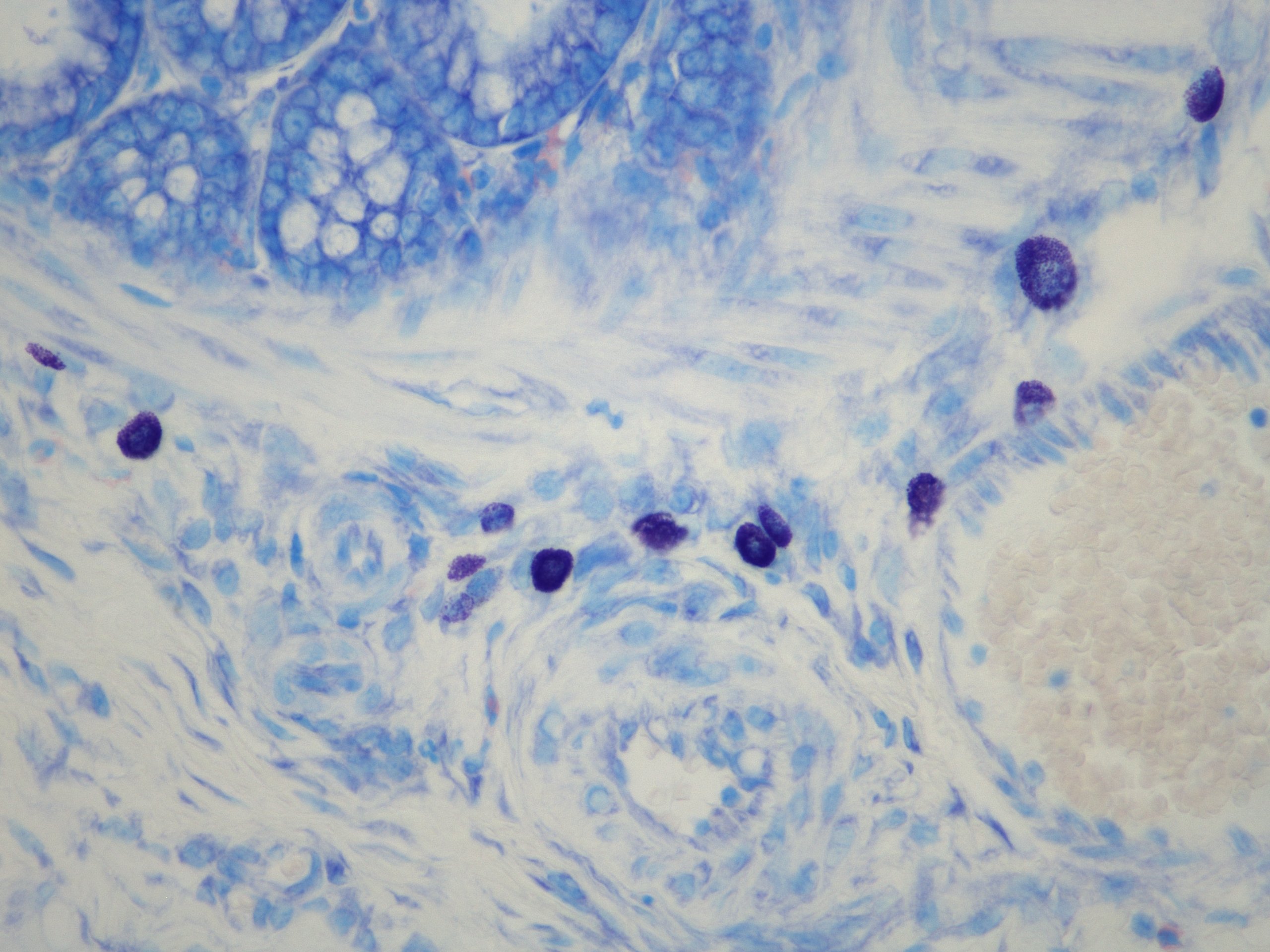
Mastociti (viola) in sottomucosa di colon.
Per gentile concessione della Dott.ssa Elena Lucarini, PostDoc, Università di Firenze (NEUROFARBA). © Epitech Group SpA
1994
Deposito del brevetto a protezione della sintesi della Palmitoiletanolamide esogena (F. della Valle et al.).
2002
Deposito del primo brevetto a protezione di una forma utilizzabile dall’organismo (micronizzata) della Palmitoiletanolamide esogena (F. della Valle et al.).
I nostri studi ci portano a capire che la Palmitoiletanolamide ottenuta attraverso il metodo di sintesi precedentemente brevettato è scarsamente biodisponibile, quando somministrata per via sistemica. Capiamo che la dimensione particellare è una “questione critica”.
2004
Entrata nel mercato della salute umana con l’applicazione del meccanismo ALIA nel campo della dermatologia podologica, come frutto della nostra ricerca.
2006
La tecnologia innovativa della micronizzazione, che rende biodisponibile la PEA, ci consente di mettere a punto strategie di modulazione prive di effetti collaterali e particolarmente efficaci su dolore cronico-neuropatico e malattie neurodegenerative.
Lancio del primo prodotto a base di una forma biodisponibile di Palmitoiletanolamide – Normast 300 mg – supportato da evidenze precliniche e cliniche.
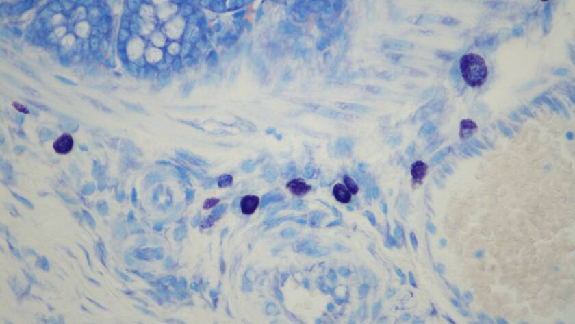
Mastociti (viola) in sottomucosa di colon.
Per gentile concessione della Dott.ssa Elena Lucarini, PostDoc, Università di Firenze (NEUROFARBA). © Epitech Group SpA
2008
Epitech Group inizia ad attirare l’attenzione del mondo scientifico e imprenditoriale a livello internazionale. Sigliamo i primi contratti di licenza su molecole di nostra concezione.
2015
Cresce il nostro impegno in ricerca con l’apertura di due unità locali a Messina e Pozzuoli per gli studi preclinici.
Epitech Group diventa una SpA e ottiene la certificazione del Sistema per la Qualità (ISO 9001: ISO 13485).
2017
L’inserimento nell’elenco delle PMI Innovative formalizza il nostro spirito d’innovazione.
2019
Grazie all’assidua attività di ricerca, si espande il patrimonio di innovazione di Epitech Group: nel 2019 il nostro pacchetto brevettuale è composto da 262 brevetti internazionali a copertura dell’uso terapeutico delle ALIAmidi.
Co-coltura di microglia e astroglia. © Epitech Group SpA
2020
New facility: apriamo un nuovo reparto tecnico con laboratori chimici e un impianto per la produzione dei topici.
2023
New Company Headquarter: ci trasferiamo in una nuova sede direzionale per far fronte alla crescita organica. Tra il 2018 e il 2023 Epitech Group raddoppia il fatturato.
2025
Nel primo trimestre superiamo la soglia dei 400 brevetti ottenuti a livello internazionale su molecole di nostra concezione. Un risultato che concretizza il costante aumento delle conoscenze sui meccanismi neuroinfiammatori e che apre la strada a importanti sviluppi futuri.
Co-coltura di microglia e astroglia. © Epitech Group SpA

